Case Sharing | Long-Tunnel PFO Closure with MemoSorb Biodegradable Occluder
-
2025-04-28
-
LEPU
30-Year Migraine Relief & 1-Year Follow-Up: Long-Tunnel PFO Closure with MemoSorb Biodegradable Occluder
Today, we share a remarkable case highlighting 1-year post-op outcomes of MemoSorb in treating a complex long-tunnel PFO (12mm length, 1.4mm width), with a focus on serial echocardiographic evidence of device degradation and clinical symptom resolution.
Case Highlights
Patient Profile: 53F, 30-year history of migraines (often unilateral, lasting hours to days), 2 syncopal episodes.
Diagnosis: Positive bubble study.
Implant: 2424 MemoSorb® biodegradable PFO occluder deployed under echo and DSA guidance.
Key Follow-Up Imaging Findings
Day 1 to 9 Months:
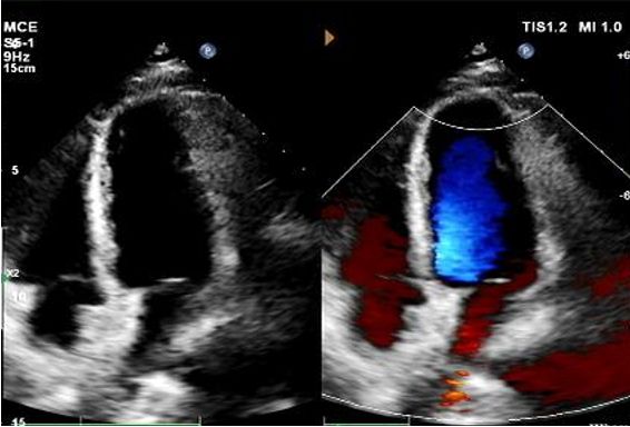
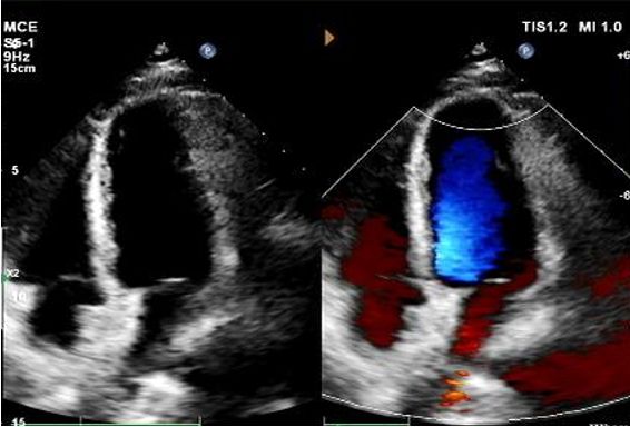
No residual shunt observed.
Gradual reduction in device echogenicity.
1-Year Echo:
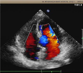
No visible disc structures – replaced by 8mm tissue thickening at the septal implant site.
Zero residual shunt (rest or post-Valsalva).
Complete device absorption confirmed.
Clinical Outcomes:
1. Migraine frequency/severity significantly reduced post-implant.
2. No recurrence of syncope or neurological symptoms.
3. Patient-reported improved quality of life.
Contact us>>marketing@lepu-medical.com
Visit lepumedical website for more >>en.lepumedical.com




